Identify structure that is not part of normal human blood

Assignment Help Biology
Reference no: EM131877659

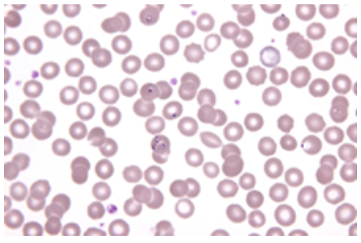
Question - Examine the following image. You are looking at a slide that contains a sample of blood from a patient.

a. Identify the structure that is not part of the normal human blood smear.

b. What type of microbe is this?

1224_figure.png

Reference no: EM131877659

Questions Cloud

Identify the most likely genus of the microbe : Examine the following image. You are looking at an acid-fast stain from a patient's sputum. Identify the most likely genus of the microbe
Create an application that will make the given calculations : Create an application that will make these calculations. This method should accept a number of fat grams as an argument and return the number of calories.
Explain how insulin regulates glucose levels in the blood : Explain how insulin regulates glucose levels in the blood. How do hormones establish selectivity?
Create an application that lets the user enter an items cost : Retail Price Calculator Create an application that lets the user enter an item's wholesale cost and its markup percentage.
Identify structure that is not part of normal human blood : You are looking at a slide that contains a sample of blood from a patient. Identify the structure that is not part of the normal human blood smear
Describe the effect and list url of the resource on web page : Describe the effect and list the URL of the resource on the Web page. Place your name in an e-mail link on the Web page.
What is meant by a capital cycle : HSM 543 What is meant by a capital cycle? What are some key factors influencing the capital cycle of healthcare organizations over the course of a year?
Develop a web page that lists at least five useful resources : Develop a Web page that lists at least five useful resources along with a brief description of each. Organize your Web page with a table.
Plot deseasonalized data on the same graph as the original : Plot deseasonalized data on the same graph as the original data. Comment on the two graphs.

Reviews

Write a Review

Biology Questions & Answers

  Immune response to infectious disease

It is a very curcial concept to understand how the immune response is mounted against viruses, bacteria, protozoans and helminthes. For an effective immune response, both innate and adaptive immunity should work together.

  A review on advanced glycated end products (ages)

This Project report elaborates a critical review of important elements attached to Advanced Glycated End Products (AGEs). It is very crucial to understand the process called Millard reaction.

  Plastic as a soil stabilizer

Soil stabilization is the permanent physical and chemical alteration of soils to enhance their physical properties. Stabilization can increase the shear strength of a soil and control the shrink-swell properties.

  Principles of microbiology

This assignment has three parts which contains questions related to Microbiology. It contains basic principles of microscopy, staining techniques in microbiology and microbial growth in the food industry.

  List the biologic functions

Lipid metabolites are often seen as key elements in cellular signaling. Is this unique? Please provide several examples of the function of lipids as key elements in signal arrays and list the biologic functions these signals affect?

  Biologic function relationships

Please describe how one might search for chemical structure, biologic function relationships, involving small molecular weight lipophylic compounds. Provide one example.

  Case study on patient in the haematology laboratory

Write a case study which detailing a scenario of a patient being investigated in the Haematology laboratory.

  Use of pcr and genetic approaches in biotechnology

The use of PCR and genetic approaches in biotechnology

  Describe the role of this enzyme in honey

Glucose oxidase is an enzyme that can be used for measurements of glucose levels by combining this reaction with an oxygen probe.

  Genetic problems

What phenotypic ratio would you get if you crossed a white mouse and a heterozygous brown mouse?

  Prepare an essay on nosocomial infection

Prepare an essay on nosocomial infection.

  Monitoring and recording the blood pressure

To increase the awareness of monitoring and recording the blood pressure of patients and practice measuring blood pressure in a safe environment.

Free Assignment Quote

Assured A++ Grade

Get guaranteed satisfaction & time on delivery in every assignment order you paid with us! We ensure premium quality solution document along with free turntin report!

All rights reserved! Copyrights ©2019-2020 ExpertsMind IT Educational Pvt Ltd